Conservative Dentistry and Endodontics
This Department aims in diagnosing and providing a preventive care. Specialise in treating malformed, discolored, unesthetic, or fractured teeth and restore it to form, function and esthetics.

We also manage tooth pain and help in increasing the life span of the tooth.
It is well organized and quality dental treatment procedures are provided and ensures a regular flow of patients for clinical training, skills development and research requirements too.
The department is fortunate to have motivated and knowledgeable faculty who are all committed to patient care, education, research, and intellectual endeavour. It also focuses on attending, participating in programmes to broaden and improve professional knowledge. We are also equipped and treat under the Dental Operating microscope for a better and precise quality of treatment.
Services provided by our department
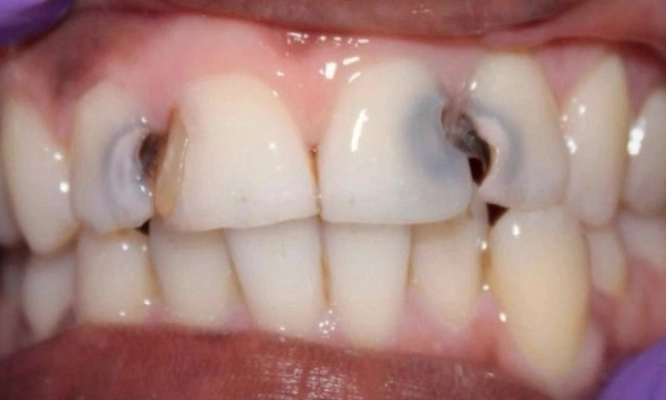
Restoration of Broken and Decayed Teeth

Before

After

Before

After
Tooth Coloured restorations (Fillings)

Before

After
Teeth Whitening

Before

After
Veneers

Before

After
Inlays and Onlay


Root Canal Treatment, Retreatment and Microsurgical Procedure

Before

After

Before

After
Special Equipments

Dental Operating Microscope

Loupes

Digital Xray

Cobalt Chromium and Ceramic Lab